
- 1
- 9
- ,
- 0
- 3
- 6
To Quiz Yourself: Select OFF by clicking the button to hide the diagnosis & additional resources under the case.
Quick Browser: Select ON by clicking the button to hide the additional resources for faster case review.
CASE NUMBER
2,053
Diagnosis
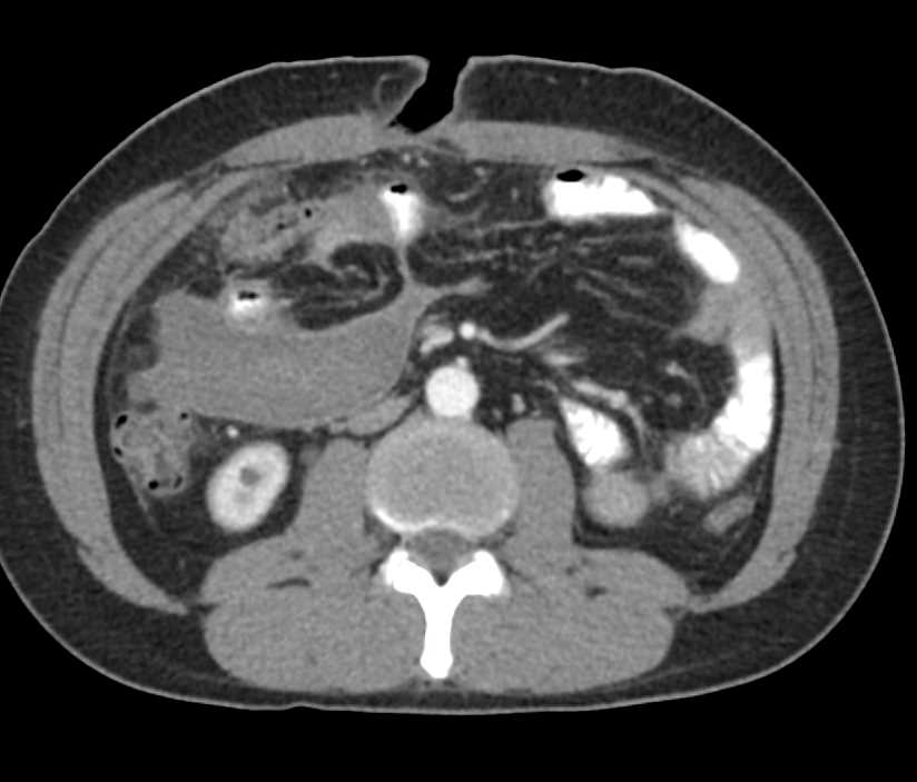
Superior Mesenteric Artery (SMA) Syndrome with Dilated Duodenum
THIS IS CASE
2,053
OF
2,242
