
- 1
- 9
- ,
- 1
- 4
- 3
To Quiz Yourself: Select OFF by clicking the button to hide the diagnosis & additional resources under the case.
Quick Browser: Select ON by clicking the button to hide the additional resources for faster case review.
CASE NUMBER
1,549
Diagnosis
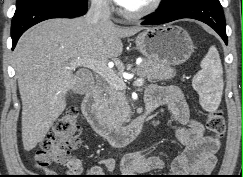
Duodenal Adenocarcinoma Simulates a Pancreatic Adenocarcinoma
THIS IS CASE
1,549
OF
2,249
