
- 1
- 9
- ,
- 1
- 4
- 3
To Quiz Yourself: Select OFF by clicking the button to hide the diagnosis & additional resources under the case.
Quick Browser: Select ON by clicking the button to hide the additional resources for faster case review.
CASE NUMBER
1,228
Diagnosis
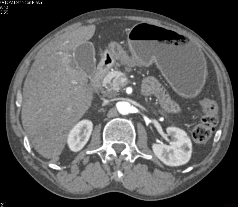
Carcinoma of the 3rd Portion of the Duodenum
THIS IS CASE
1,228
OF
2,249
