
- 1
- 9
- ,
- 1
- 4
- 3
To Quiz Yourself: Select OFF by clicking the button to hide the diagnosis & additional resources under the case.
Quick Browser: Select ON by clicking the button to hide the additional resources for faster case review.
CASE NUMBER
1,172
Diagnosis
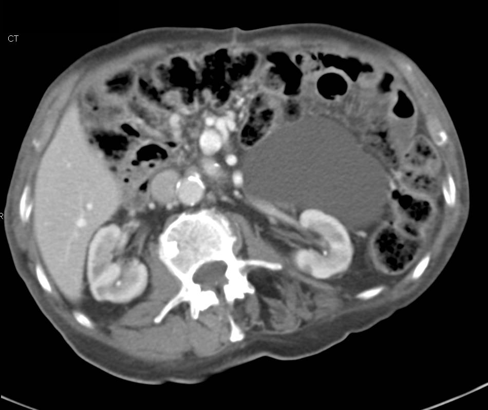
Carcinoid Tumor with encased Superior Mesenteric Artery (SMA)/Superior Mesenteric Vein (SMV)
THIS IS CASE
1,172
OF
2,249
