
- 1
- 9
- ,
- 1
- 4
- 3
To Quiz Yourself: Select OFF by clicking the button to hide the diagnosis & additional resources under the case.
Quick Browser: Select ON by clicking the button to hide the additional resources for faster case review.
CASE NUMBER
1,129
Diagnosis
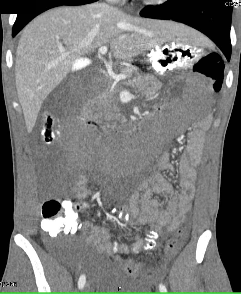
Pancreatic Cancer Invades the 4th Portion of the Duodenum and Causes Obstruction
THIS IS CASE
1,129
OF
2,249
