
- 1
- 9
- ,
- 1
- 4
- 3
To Quiz Yourself: Select OFF by clicking the button to hide the diagnosis & additional resources under the case.
Quick Browser: Select ON by clicking the button to hide the additional resources for faster case review.
CASE NUMBER
589
Diagnosis
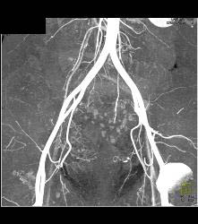
Subtle Multiple Carcinoid Tumors in Small Bowel Show Best on 3D MIP
THIS IS CASE
589
OF
2,249
