
- 4
- 6
- ,
- 8
- 0
- 8
To Quiz Yourself: Select OFF by clicking the button to hide the diagnosis & additional resources under the case.
Quick Browser: Select ON by clicking the button to hide the additional resources for faster case review.
CASE NUMBER
6,282
Diagnosis
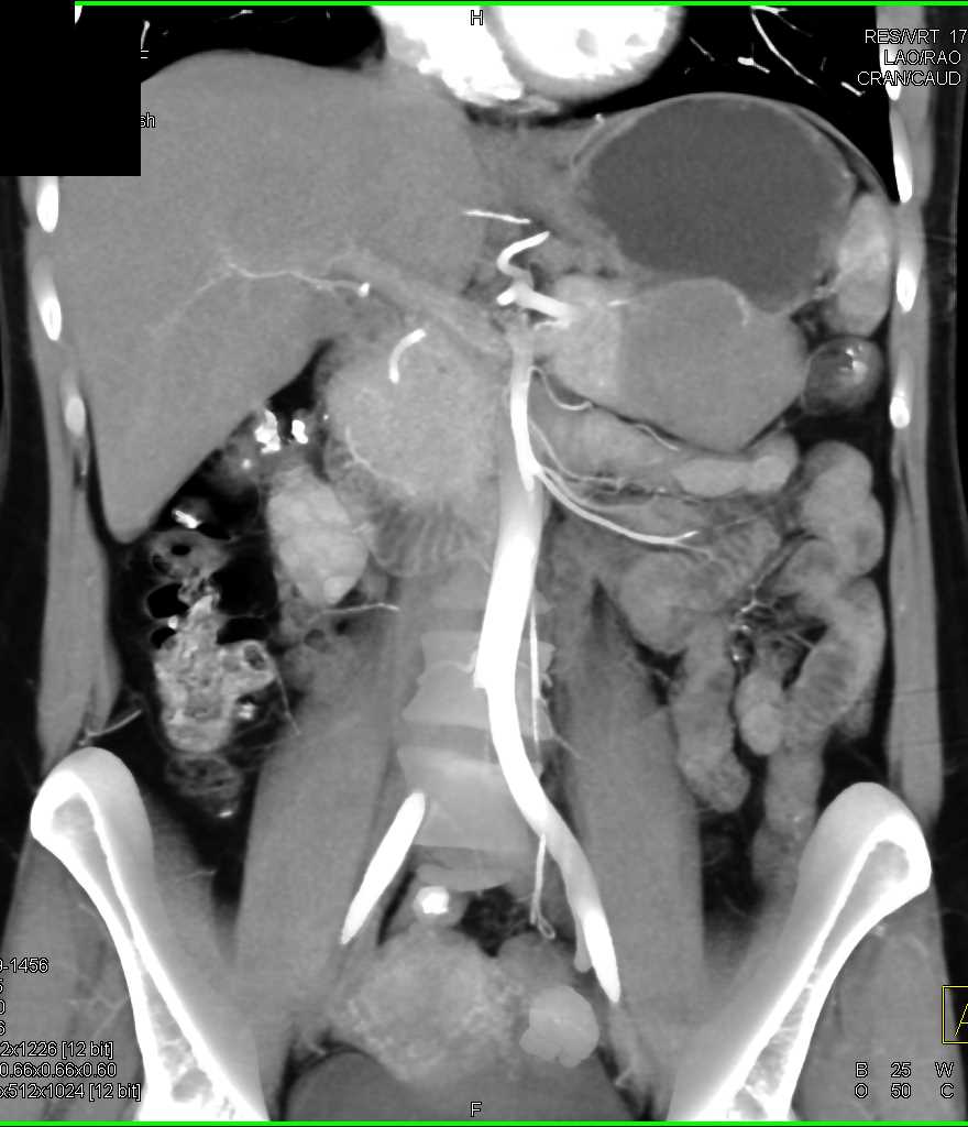
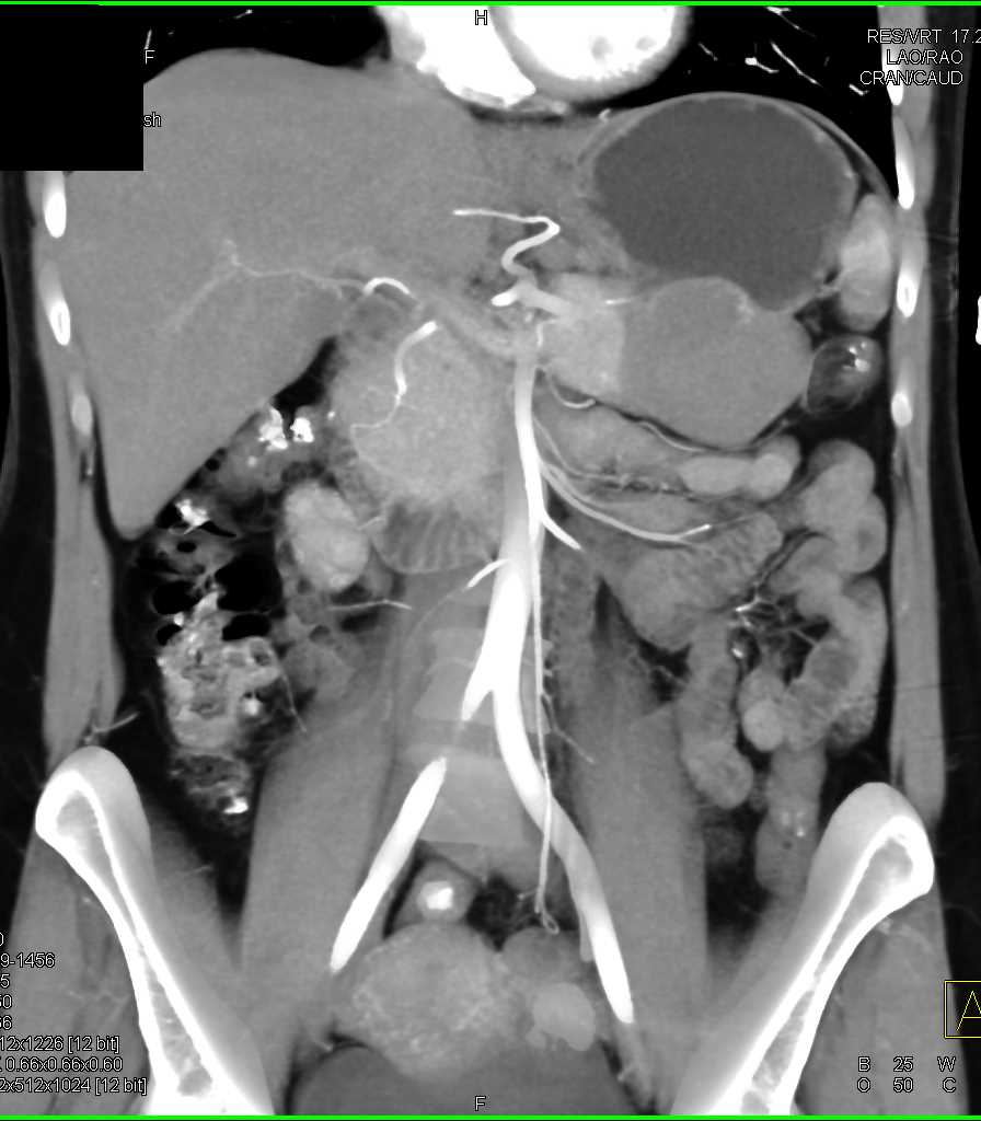
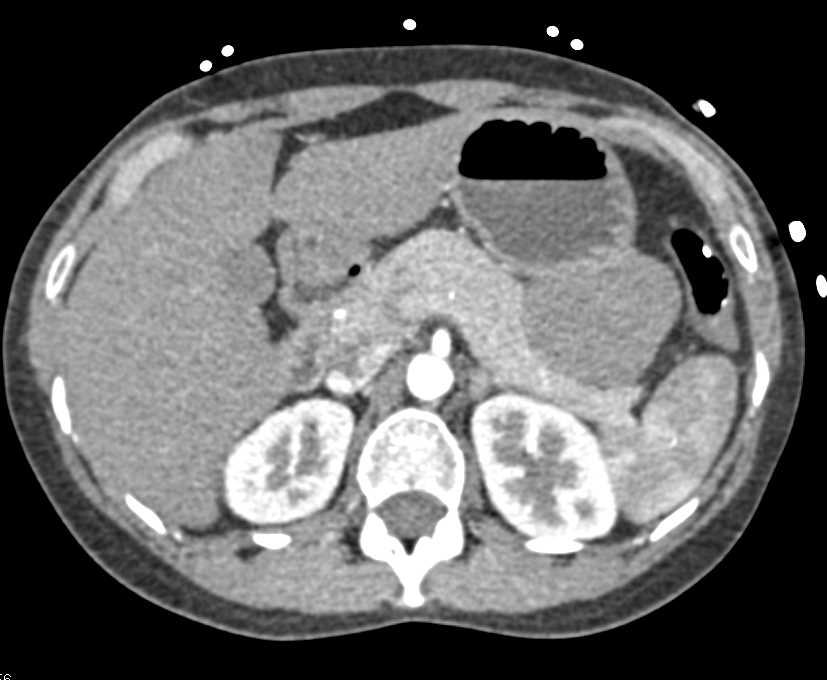
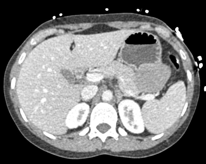
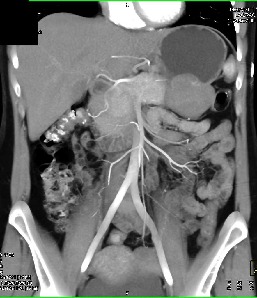
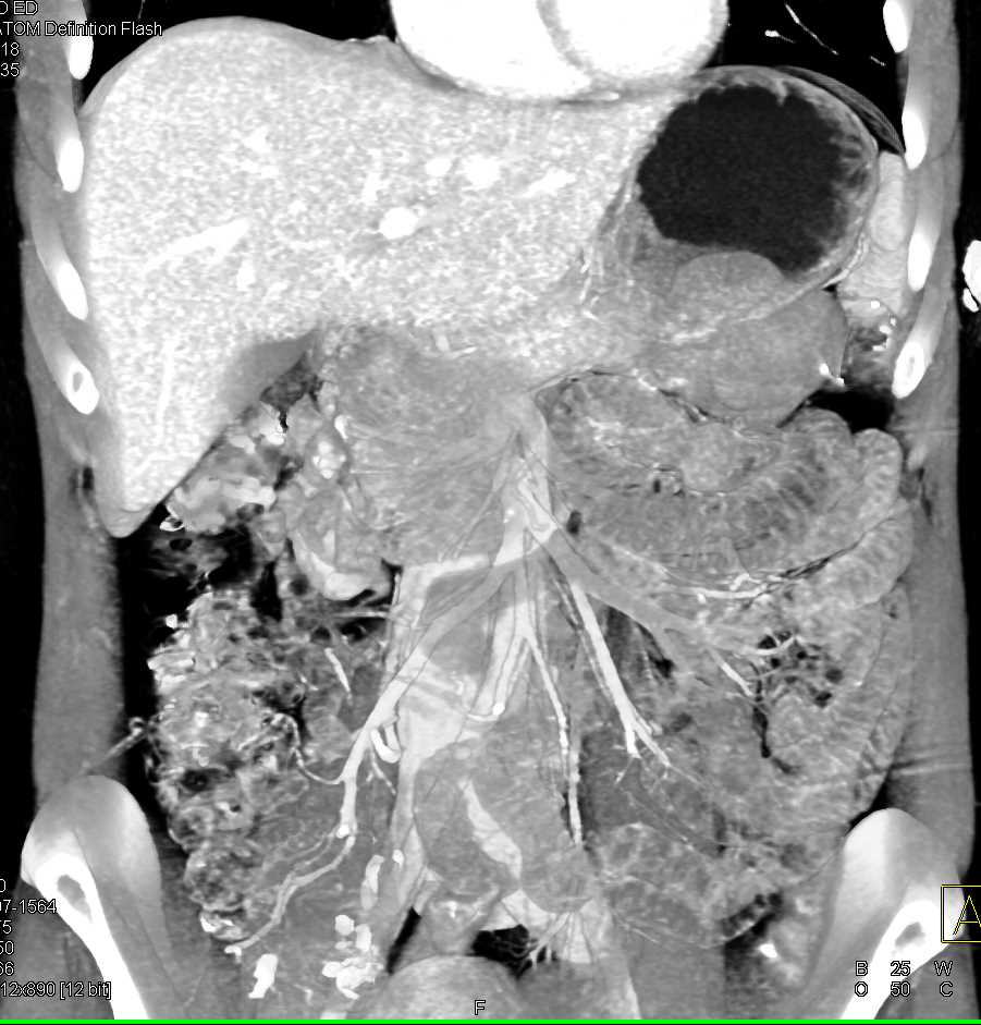
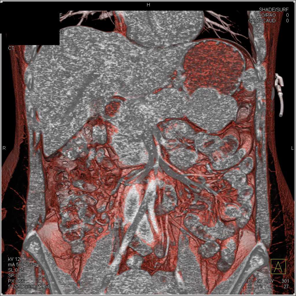
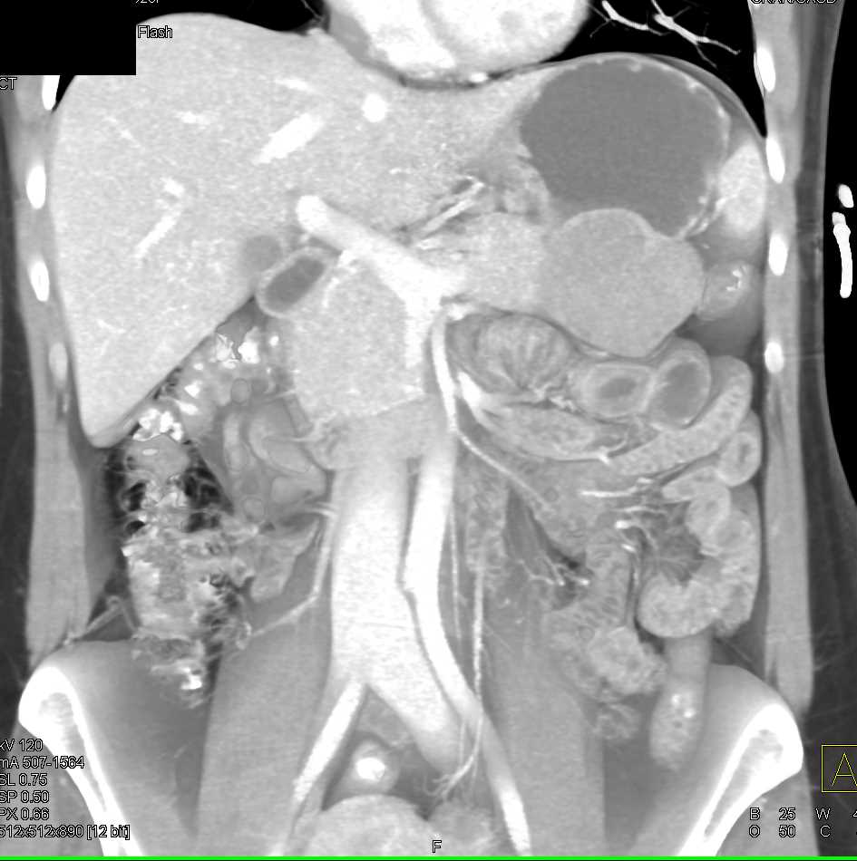
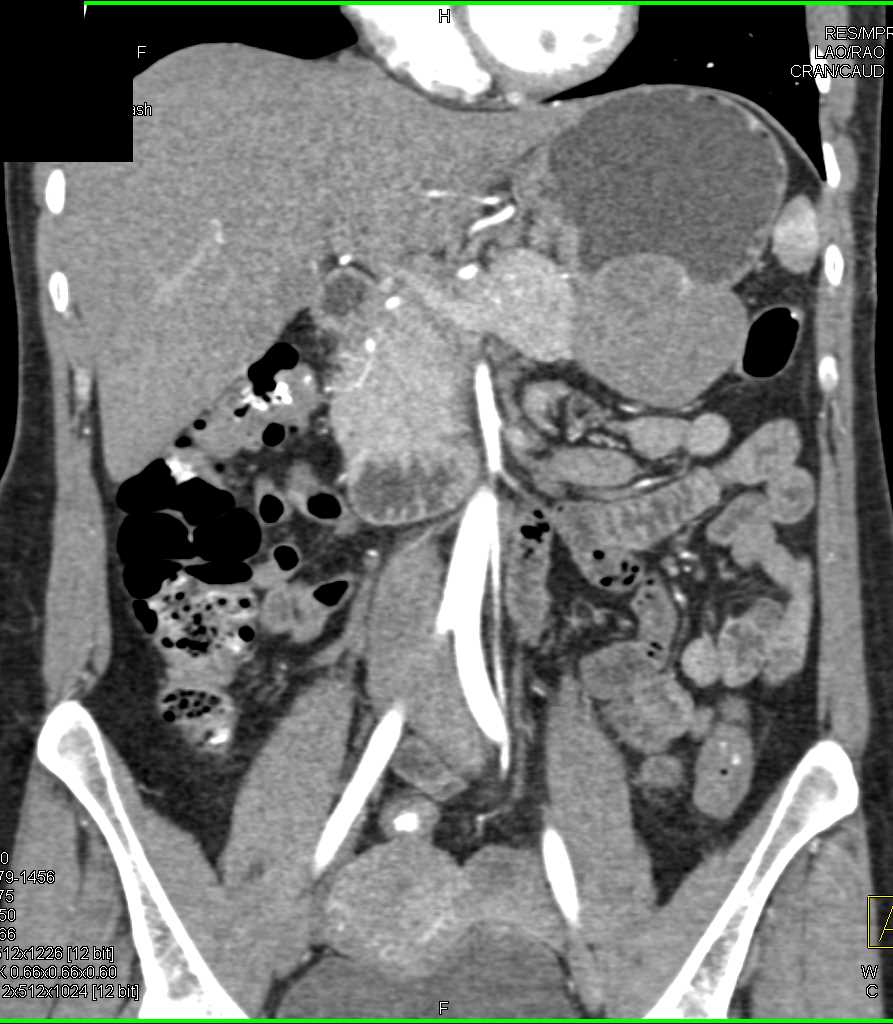
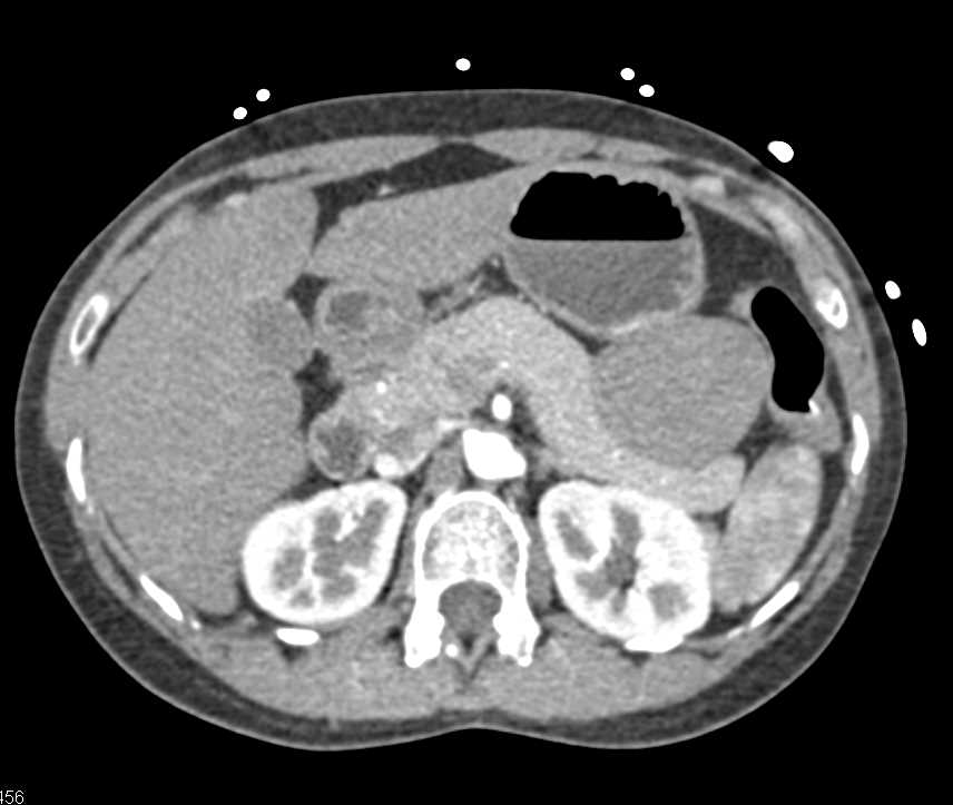
Mass Pushes on Tail of Pancreas was Ganglioneuroma
THIS IS CASE
6,282
OF
6,284
