
- 4
- 6
- ,
- 8
- 7
- 9
To Quiz Yourself: Select OFF by clicking the button to hide the diagnosis & additional resources under the case.
Quick Browser: Select ON by clicking the button to hide the additional resources for faster case review.
CASE NUMBER
6,346
Diagnosis
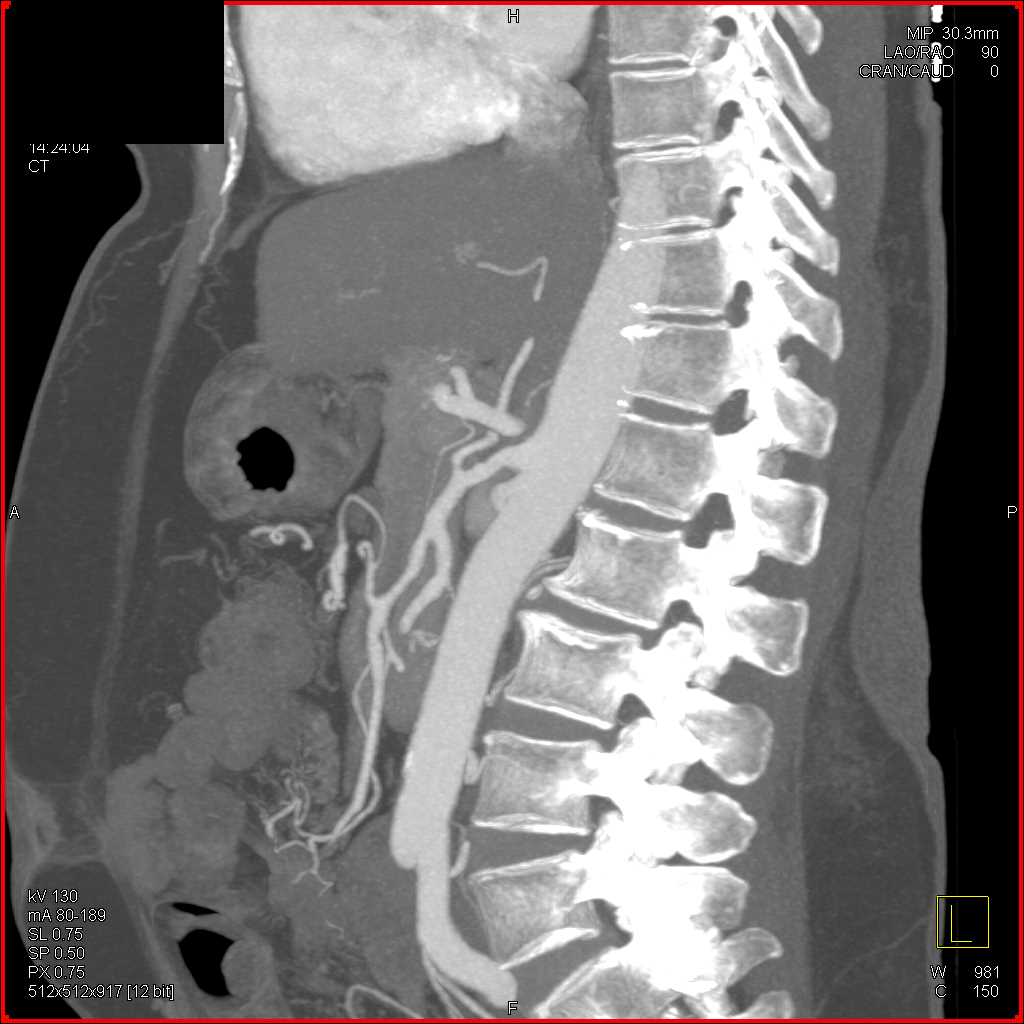
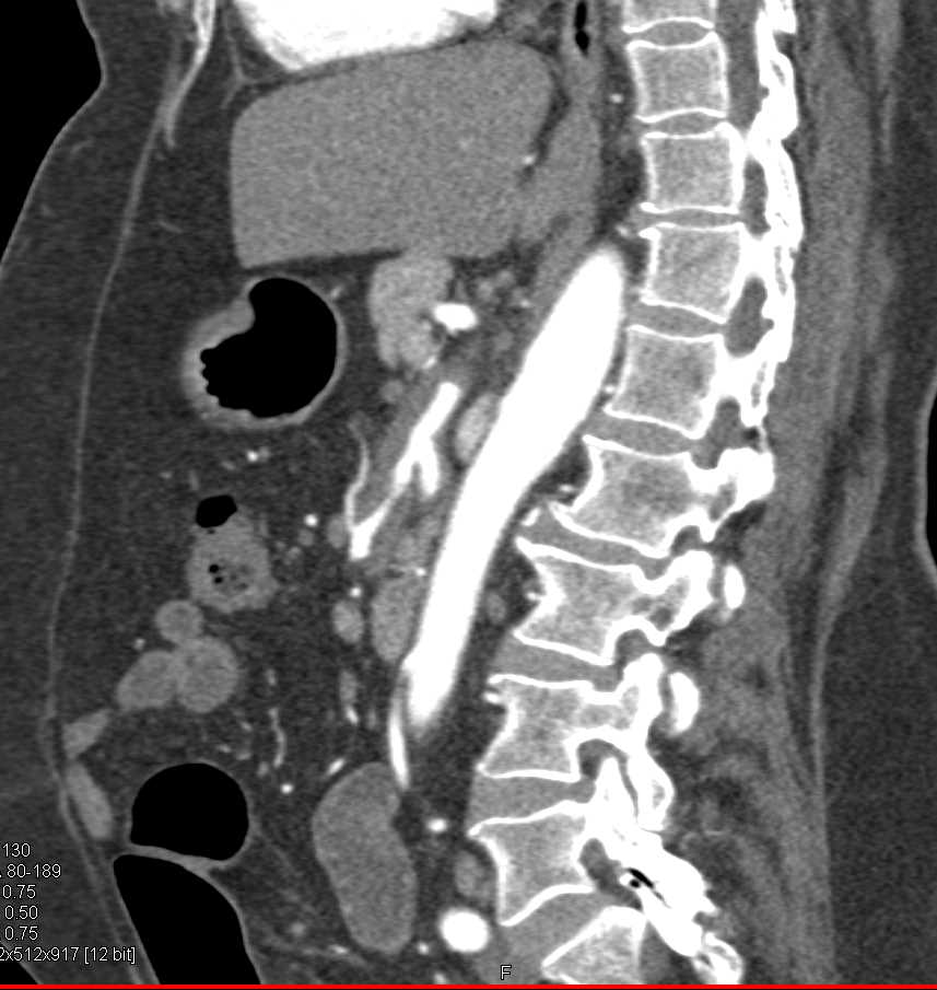
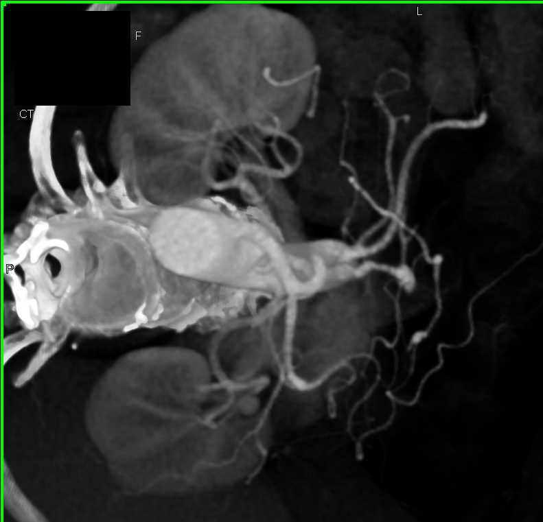
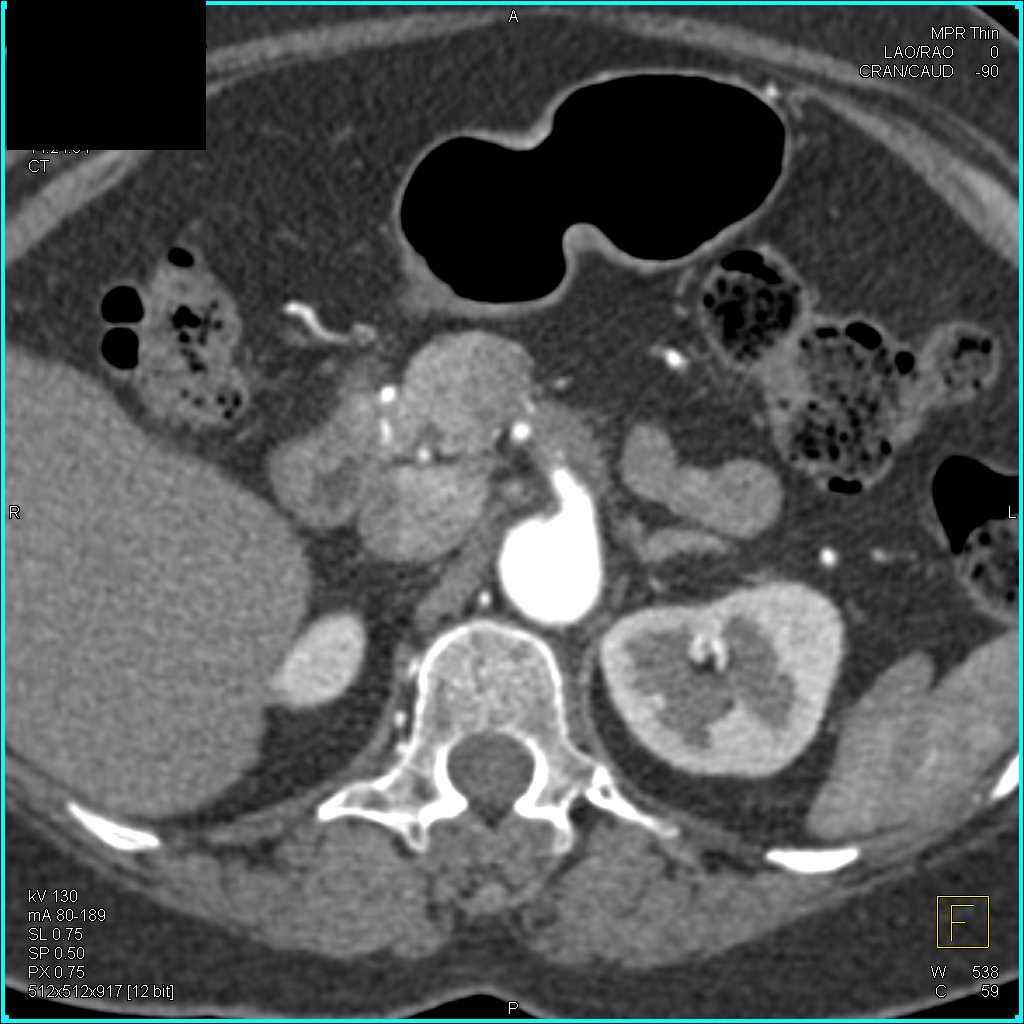
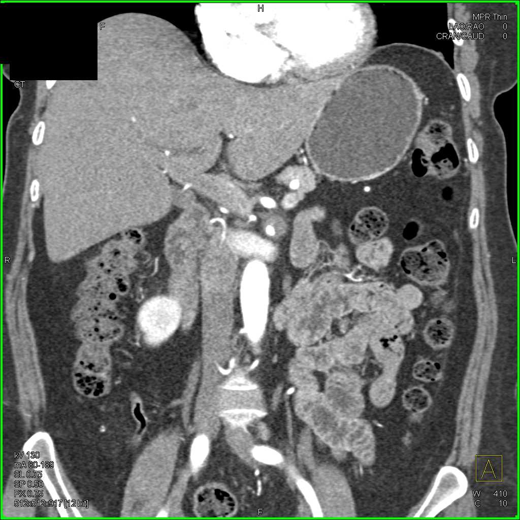
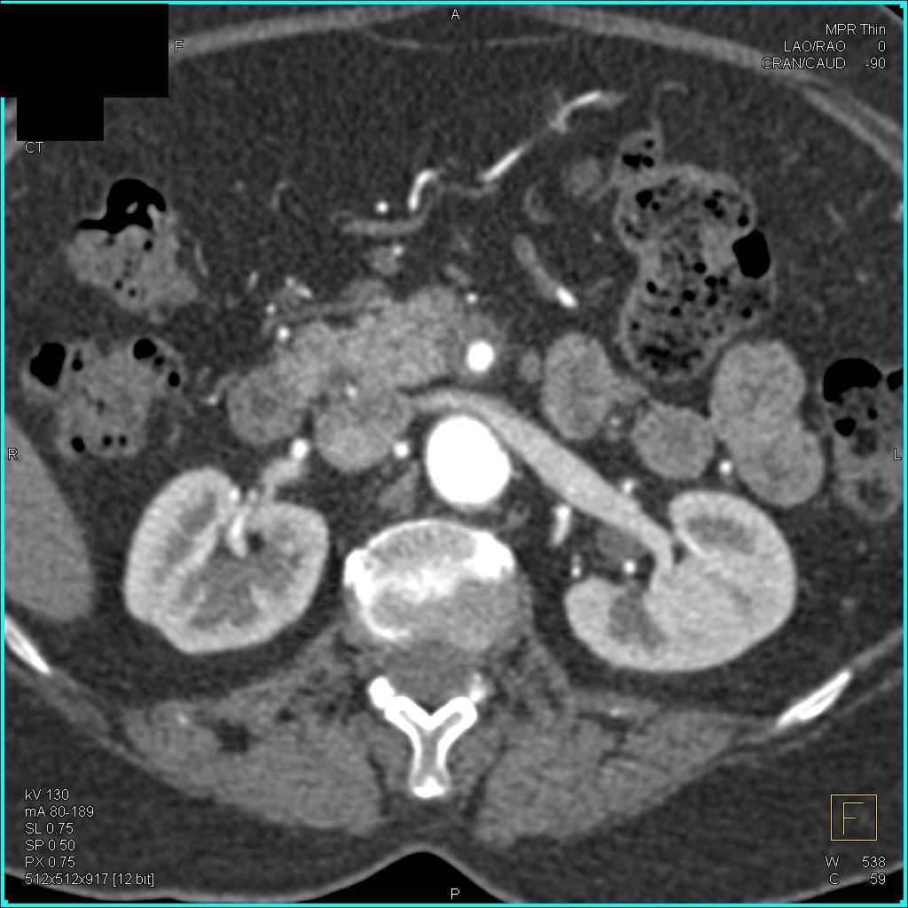
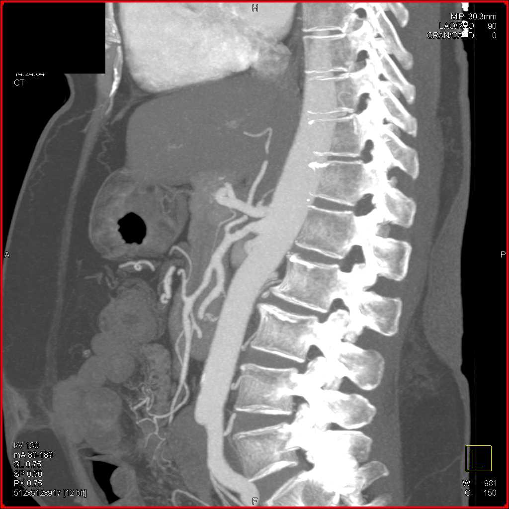
Neuroendocrine Tumor Body of Pancreas
THIS IS CASE
6,346
OF
6,350