
- 4
- 6
- ,
- 8
- 7
- 9
To Quiz Yourself: Select OFF by clicking the button to hide the diagnosis & additional resources under the case.
Quick Browser: Select ON by clicking the button to hide the additional resources for faster case review.
CASE NUMBER
6,342
Diagnosis
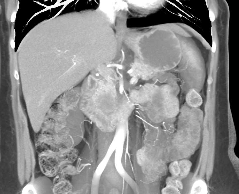
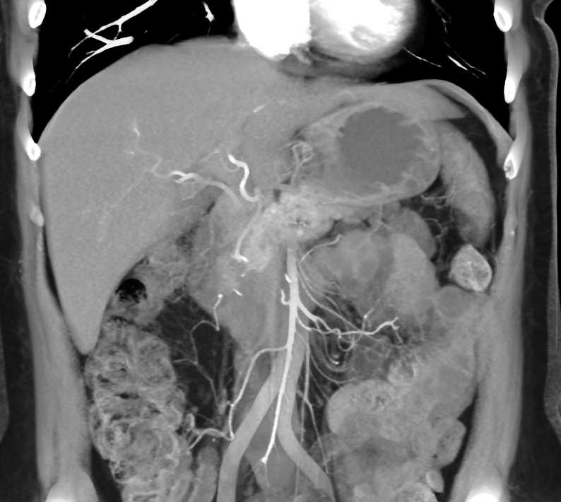
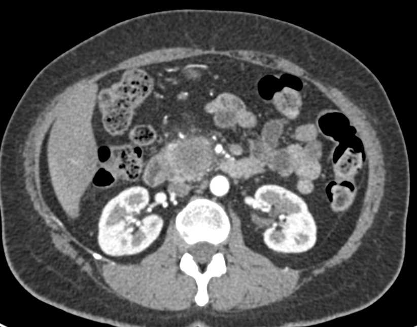
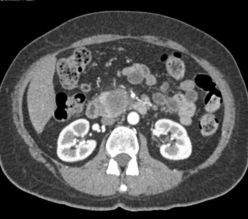
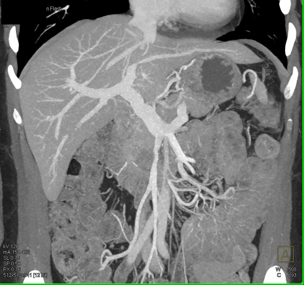
Adenocarcinoma of the Head of the Pancreas
THIS IS CASE
6,342
OF
6,350