
- 4
- 6
- ,
- 8
- 7
- 9
To Quiz Yourself: Select OFF by clicking the button to hide the diagnosis & additional resources under the case.
Quick Browser: Select ON by clicking the button to hide the additional resources for faster case review.
CASE NUMBER
6,150
Diagnosis
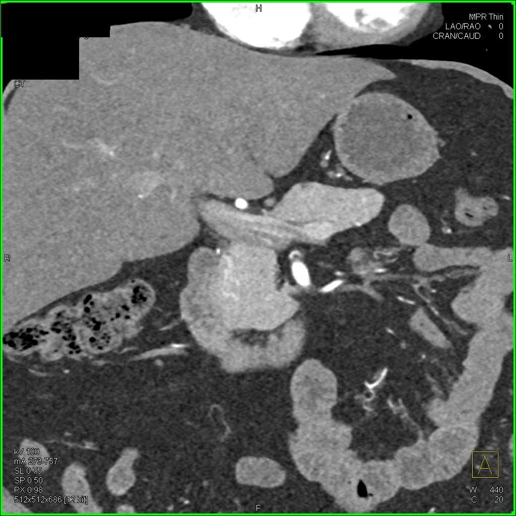
Carcinoma Pancreas with Dilated Pancreatic Duct
THIS IS CASE
6,150
OF
6,350
