
- 4
- 6
- ,
- 8
- 7
- 9
To Quiz Yourself: Select OFF by clicking the button to hide the diagnosis & additional resources under the case.
Quick Browser: Select ON by clicking the button to hide the additional resources for faster case review.
CASE NUMBER
5,868
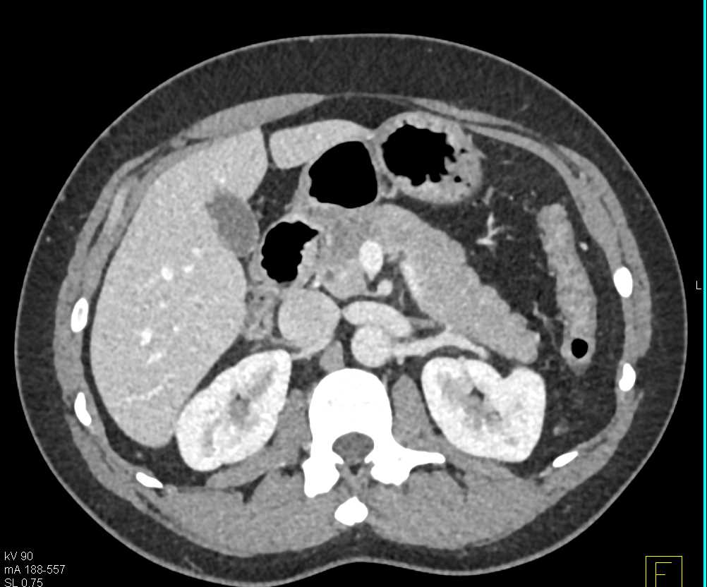
Diagnosis
Carcinoma Head of Pancreas
THIS IS CASE
5,868
OF
6,350
