
- 4
- 6
- ,
- 8
- 7
- 9
To Quiz Yourself: Select OFF by clicking the button to hide the diagnosis & additional resources under the case.
Quick Browser: Select ON by clicking the button to hide the additional resources for faster case review.
CASE NUMBER
5,344
Diagnosis
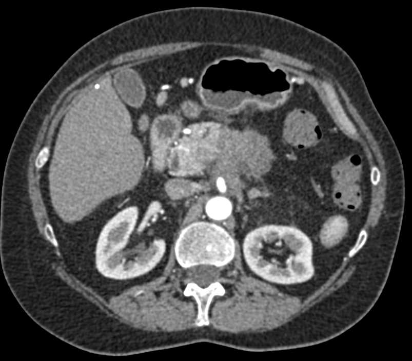
Pancreatic Adenocarcinoma Encases the Portal Vein (PV) and Occludes the Splenic Vein with Cinematic Rendering
THIS IS CASE
5,344
OF
6,350
