
- 4
- 6
- ,
- 8
- 7
- 9
To Quiz Yourself: Select OFF by clicking the button to hide the diagnosis & additional resources under the case.
Quick Browser: Select ON by clicking the button to hide the additional resources for faster case review.
CASE NUMBER
5,334
Diagnosis
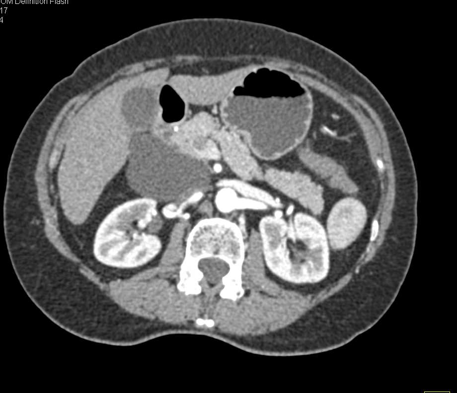
Adenocarcinoma of the Head of the Pancreas
THIS IS CASE
5,334
OF
6,350
