
- 4
- 6
- ,
- 8
- 7
- 9
To Quiz Yourself: Select OFF by clicking the button to hide the diagnosis & additional resources under the case.
Quick Browser: Select ON by clicking the button to hide the additional resources for faster case review.
CASE NUMBER
5,296
Diagnosis
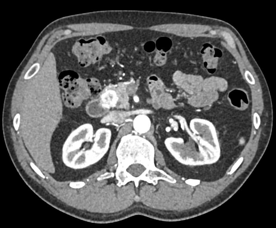
Pancreatic Adenocarcinoma Encases the Celiac and Superior Mesenteric Artery (SMA) and Occludes the Splenic Vein
THIS IS CASE
5,296
OF
6,350
