
- 4
- 6
- ,
- 8
- 6
- 7
To Quiz Yourself: Select OFF by clicking the button to hide the diagnosis & additional resources under the case.
Quick Browser: Select ON by clicking the button to hide the additional resources for faster case review.
CASE NUMBER
5,466
Diagnosis
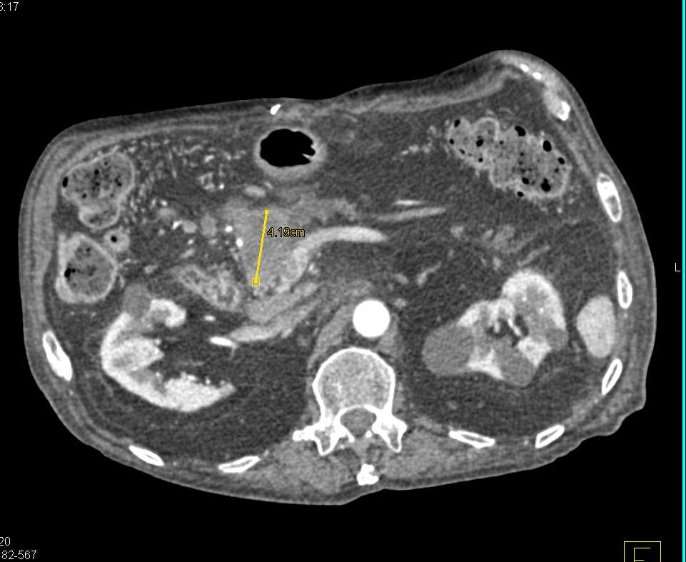
Carcinoma Body of Pancreas with Dilated Pancreatic Duct
THIS IS CASE
5,466
OF
6,287
