
- 4
- 6
- ,
- 8
- 7
- 9
To Quiz Yourself: Select OFF by clicking the button to hide the diagnosis & additional resources under the case.
Quick Browser: Select ON by clicking the button to hide the additional resources for faster case review.
CASE NUMBER
5,277
Diagnosis
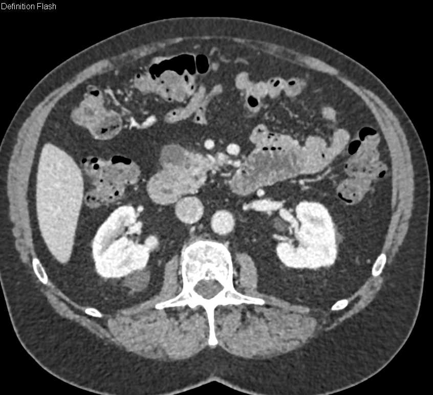
Invasive Adenocarcinoma Head of the Pancreas with Local Spread
THIS IS CASE
5,277
OF
6,350
