
- 4
- 6
- ,
- 8
- 7
- 9
To Quiz Yourself: Select OFF by clicking the button to hide the diagnosis & additional resources under the case.
Quick Browser: Select ON by clicking the button to hide the additional resources for faster case review.
CASE NUMBER
5,240
Diagnosis
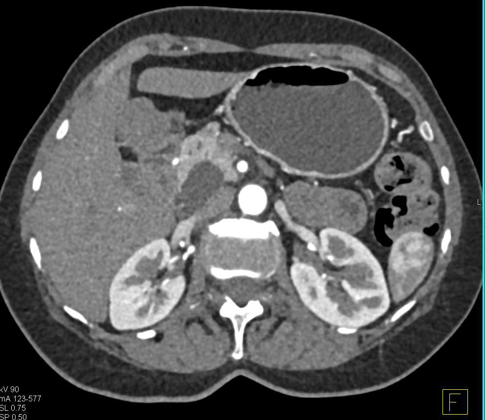
Pancreas Adenocarcinoma with Pancreatic Duct Cutoff
THIS IS CASE
5,240
OF
6,350
