
- 4
- 6
- ,
- 8
- 7
- 9
To Quiz Yourself: Select OFF by clicking the button to hide the diagnosis & additional resources under the case.
Quick Browser: Select ON by clicking the button to hide the additional resources for faster case review.
CASE NUMBER
5,214
Diagnosis
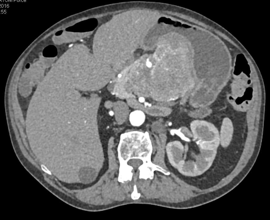
Pancreatic Neuroendocrine Tumor (PNET) in the Head of the Pancreas
THIS IS CASE
5,214
OF
6,350
