
- 4
- 6
- ,
- 7
- 3
- 5
To Quiz Yourself: Select OFF by clicking the button to hide the diagnosis & additional resources under the case.
Quick Browser: Select ON by clicking the button to hide the additional resources for faster case review.
CASE NUMBER
4,619
Diagnosis
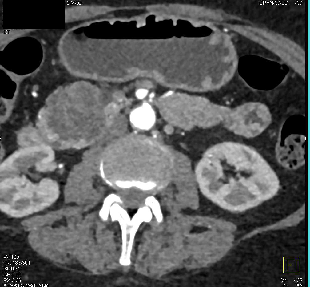
Multiple Intraductal Papillary Mucinous Neoplasms (IPMNs) in the Pancreas
THIS IS CASE
4,619
OF
6,278
