
- 4
- 6
- ,
- 8
- 7
- 9
To Quiz Yourself: Select OFF by clicking the button to hide the diagnosis & additional resources under the case.
Quick Browser: Select ON by clicking the button to hide the additional resources for faster case review.
CASE NUMBER
4,597
Diagnosis
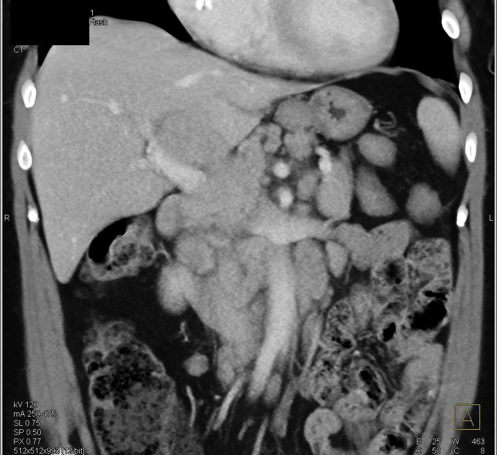
Carcinoma of the Head of the Pancreas with Dilated Pancreatic Duct
THIS IS CASE
4,597
OF
6,350
