
- 4
- 6
- ,
- 8
- 6
- 7
To Quiz Yourself: Select OFF by clicking the button to hide the diagnosis & additional resources under the case.
Quick Browser: Select ON by clicking the button to hide the additional resources for faster case review.
CASE NUMBER
4,342
Diagnosis
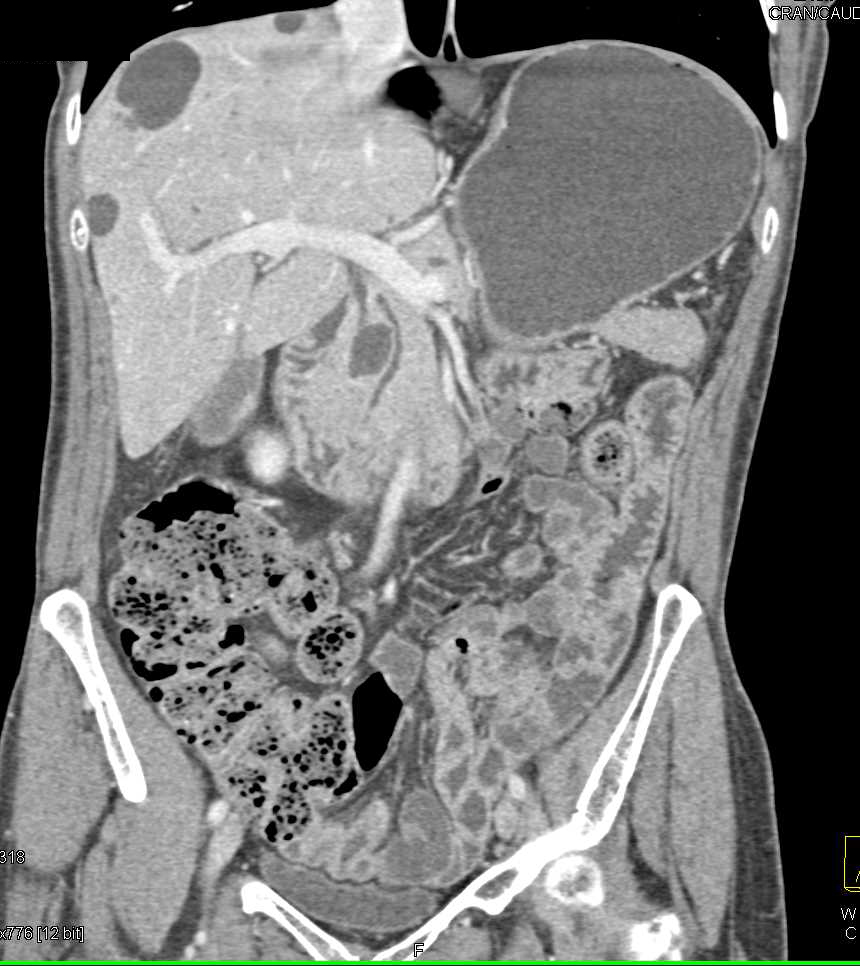
Cystic Neuroendocrine Tumor in the Uncinate Process
THIS IS CASE
4,342
OF
6,287
