
- 4
- 6
- ,
- 7
- 3
- 5
To Quiz Yourself: Select OFF by clicking the button to hide the diagnosis & additional resources under the case.
Quick Browser: Select ON by clicking the button to hide the additional resources for faster case review.
CASE NUMBER
3,899
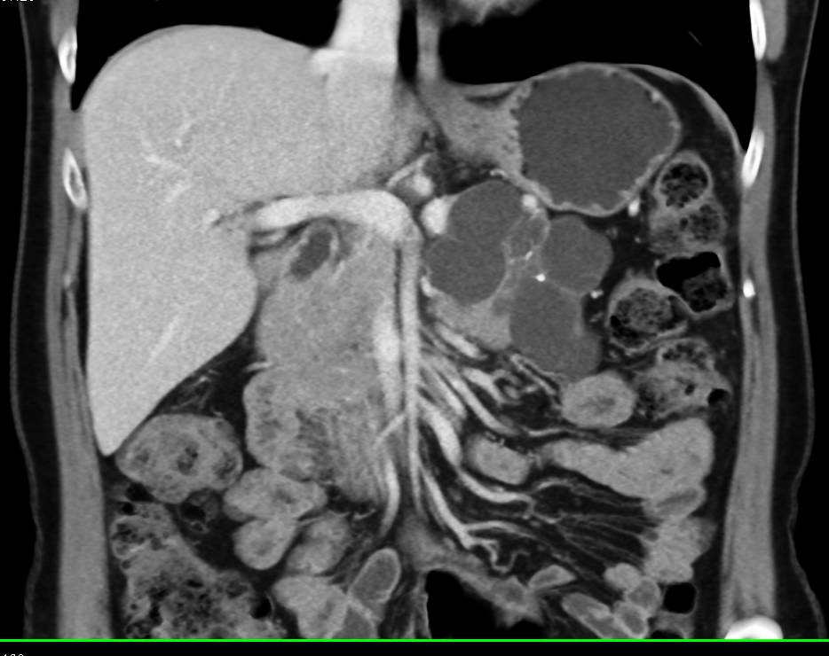
Diagnosis
Pancreatic Necrosis with Pancreatic Abscess
THIS IS CASE
3,899
OF
6,278
