
- 4
- 6
- ,
- 7
- 3
- 5
To Quiz Yourself: Select OFF by clicking the button to hide the diagnosis & additional resources under the case.
Quick Browser: Select ON by clicking the button to hide the additional resources for faster case review.
CASE NUMBER
3,794
Diagnosis
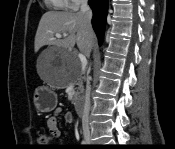
Pancreatic Neuroendocrine Tumor (PNET) Pancreas was an Insulinoma
THIS IS CASE
3,794
OF
6,278
