
- 4
- 6
- ,
- 7
- 3
- 5
To Quiz Yourself: Select OFF by clicking the button to hide the diagnosis & additional resources under the case.
Quick Browser: Select ON by clicking the button to hide the additional resources for faster case review.
CASE NUMBER
3,770
Diagnosis
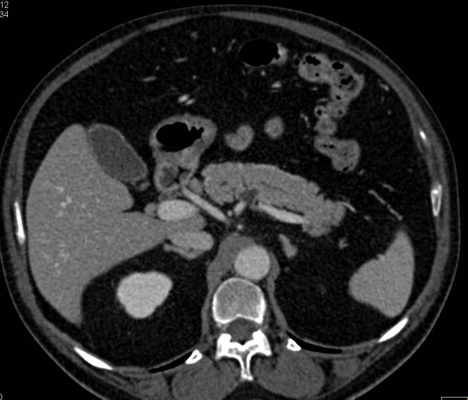
Pancreatic Cancer in Head of Pancreas and Multiple Intraductal Papillary Mucinous Neoplasms (IPMNs)
THIS IS CASE
3,770
OF
6,278
