
- 4
- 6
- ,
- 8
- 0
- 8
To Quiz Yourself: Select OFF by clicking the button to hide the diagnosis & additional resources under the case.
Quick Browser: Select ON by clicking the button to hide the additional resources for faster case review.
CASE NUMBER
3,370
Diagnosis
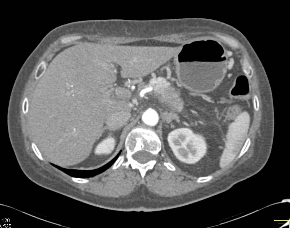
Incidental Pulmonary Embolism (PE) in the Pulmonary Artery to Right Lower Lung in a Patient with Metastatic Pancreatic Cancer
THIS IS CASE
3,370
OF
6,284
