
- 4
- 6
- ,
- 8
- 6
- 7
To Quiz Yourself: Select OFF by clicking the button to hide the diagnosis & additional resources under the case.
Quick Browser: Select ON by clicking the button to hide the additional resources for faster case review.
CASE NUMBER
2,954
Diagnosis
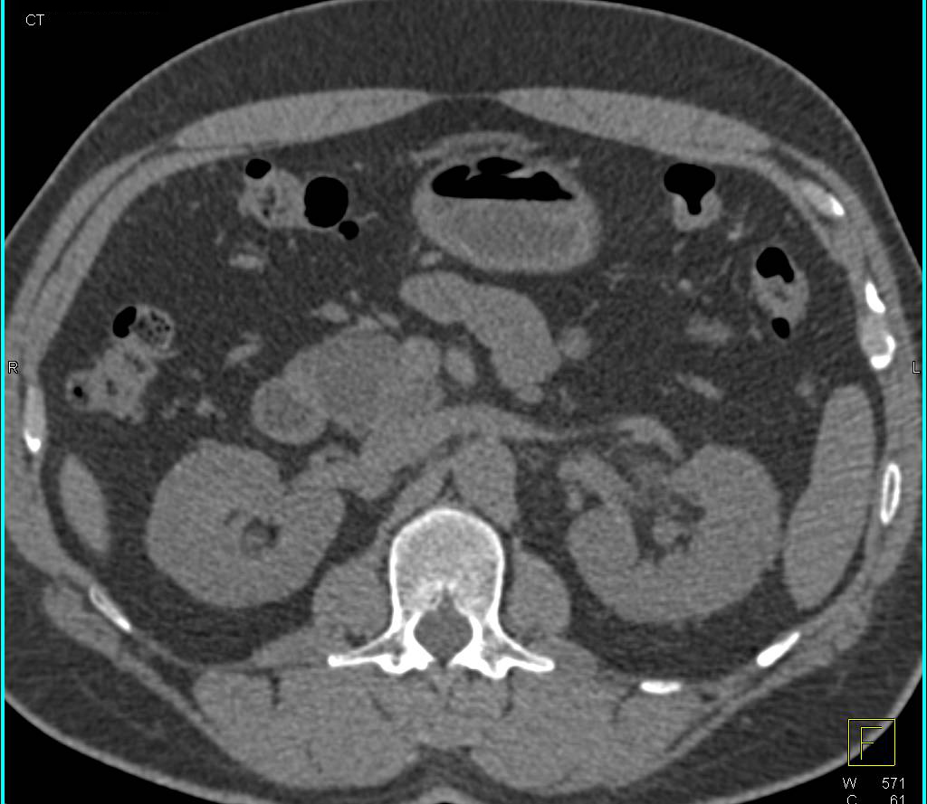
Pancreatic Cancer Obstructs the Common Bile Duct and Encases the Superior Mesenteric Vein (SMV)
THIS IS CASE
2,954
OF
6,287
