
- 4
- 6
- ,
- 8
- 6
- 7
To Quiz Yourself: Select OFF by clicking the button to hide the diagnosis & additional resources under the case.
Quick Browser: Select ON by clicking the button to hide the additional resources for faster case review.
CASE NUMBER
2,924
Diagnosis
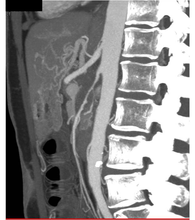
Neuroendocrine Tumor of the Pancreatic Head with CTA Mapping
THIS IS CASE
2,924
OF
6,287
