
- 4
- 6
- ,
- 8
- 6
- 7
To Quiz Yourself: Select OFF by clicking the button to hide the diagnosis & additional resources under the case.
Quick Browser: Select ON by clicking the button to hide the additional resources for faster case review.
CASE NUMBER
2,904
Diagnosis
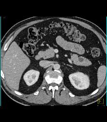
Intraductal Papillary Mucinous Neoplasm (IPMN)
THIS IS CASE
2,904
OF
6,287
