
- 4
- 6
- ,
- 8
- 0
- 8
To Quiz Yourself: Select OFF by clicking the button to hide the diagnosis & additional resources under the case.
Quick Browser: Select ON by clicking the button to hide the additional resources for faster case review.
CASE NUMBER
1,722
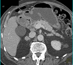
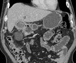
Diagnosis
Neuroendocrine Tumor With Nodes Near IVC
THIS IS CASE
1,722
OF
6,284
