
- 4
- 6
- ,
- 8
- 0
- 8
To Quiz Yourself: Select OFF by clicking the button to hide the diagnosis & additional resources under the case.
Quick Browser: Select ON by clicking the button to hide the additional resources for faster case review.
CASE NUMBER
1,701
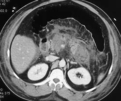
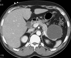
Diagnosis
Pancreatic Cancer Encases the Celiac and SMA
THIS IS CASE
1,701
OF
6,284
