
- 4
- 6
- ,
- 8
- 0
- 8
To Quiz Yourself: Select OFF by clicking the button to hide the diagnosis & additional resources under the case.
Quick Browser: Select ON by clicking the button to hide the additional resources for faster case review.
CASE NUMBER
1,689
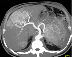
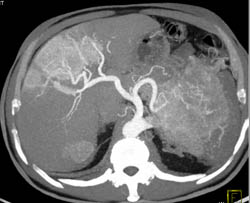
Diagnosis
Islet Cell Tumor With Liver Metastases
THIS IS CASE
1,689
OF
6,284
