
- 4
- 6
- ,
- 8
- 0
- 8
To Quiz Yourself: Select OFF by clicking the button to hide the diagnosis & additional resources under the case.
Quick Browser: Select ON by clicking the button to hide the additional resources for faster case review.
CASE NUMBER
1,646
Diagnosis
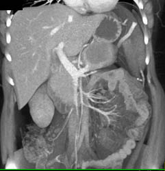
Pancreatic Cancer Arises in Chronic Pancreatitis With Superior Mesenteric Vein (SMV) Encased
THIS IS CASE
1,646
OF
6,284
