
- 4
- 6
- ,
- 8
- 0
- 8
To Quiz Yourself: Select OFF by clicking the button to hide the diagnosis & additional resources under the case.
Quick Browser: Select ON by clicking the button to hide the additional resources for faster case review.
CASE NUMBER
1,631
Diagnosis
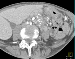
Splenic Tissue Simulates An Islet Cell Tumor
THIS IS CASE
1,631
OF
6,284
