
- 4
- 6
- ,
- 8
- 0
- 8
To Quiz Yourself: Select OFF by clicking the button to hide the diagnosis & additional resources under the case.
Quick Browser: Select ON by clicking the button to hide the additional resources for faster case review.
CASE NUMBER
1,627
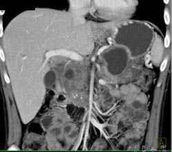
Diagnosis
Encased SMA and Celiac Arteries Due to Pancreatic Cancer
THIS IS CASE
1,627
OF
6,284
