
- 4
- 6
- ,
- 8
- 0
- 8
To Quiz Yourself: Select OFF by clicking the button to hide the diagnosis & additional resources under the case.
Quick Browser: Select ON by clicking the button to hide the additional resources for faster case review.
CASE NUMBER
1,617
Diagnosis
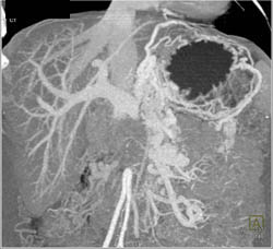
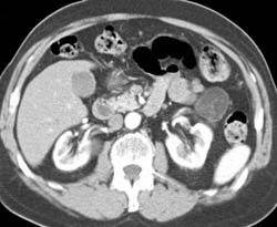
Portal Vein (PV) Thrombosis and Chronic Pancreatitis
THIS IS CASE
1,617
OF
6,284
