
- 4
- 6
- ,
- 8
- 0
- 8
To Quiz Yourself: Select OFF by clicking the button to hide the diagnosis & additional resources under the case.
Quick Browser: Select ON by clicking the button to hide the additional resources for faster case review.
CASE NUMBER
1,605
Diagnosis
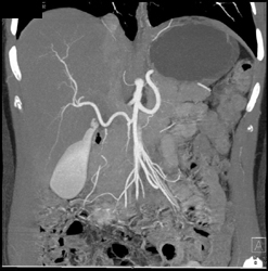
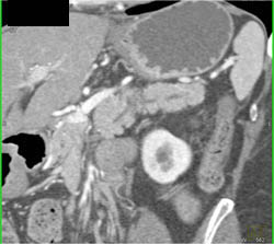
Collaterals Due to Splenic Vein Occlusion Due to Pancreatic Cancer
THIS IS CASE
1,605
OF
6,284
