
- 4
- 6
- ,
- 8
- 7
- 9
To Quiz Yourself: Select OFF by clicking the button to hide the diagnosis & additional resources under the case.
Quick Browser: Select ON by clicking the button to hide the additional resources for faster case review.
CASE NUMBER
663
Diagnosis
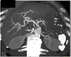
1 Cm Pancreatic Cancer With Dilated Pancreatic Duct
THIS IS CASE
663
OF
6,350
