
- 2
- ,
- 7
- 2
- 6
To Quiz Yourself: Select OFF by clicking the button to hide the diagnosis & additional resources under the case.
Quick Browser: Select ON by clicking the button to hide the additional resources for faster case review.
CASE NUMBER
51
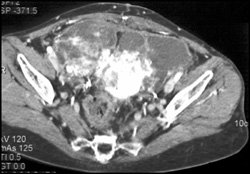
Diagnosis
Uterine Abscess
THIS IS CASE
51
OF
315
