
- 6
- ,
- 1
- 0
- 7
To Quiz Yourself: Select OFF by clicking the button to hide the diagnosis & additional resources under the case.
Quick Browser: Select ON by clicking the button to hide the additional resources for faster case review.
CASE NUMBER
779
Diagnosis
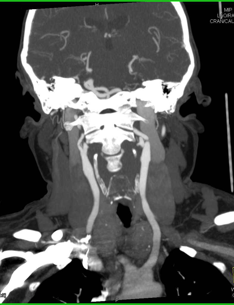
von Hippel Lindau with Right Renal Cell Carcinoma, and Hemangioblastomas to the Spinal Cord
THIS IS CASE
779
OF
964
