
- 6
- ,
- 1
- 0
- 7
To Quiz Yourself: Select OFF by clicking the button to hide the diagnosis & additional resources under the case.
Quick Browser: Select ON by clicking the button to hide the additional resources for faster case review.
CASE NUMBER
461
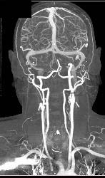
Diagnosis
Ectatic Carotid Arteries in Loeys-Dietz Syndrome. Patient Also Has Stenosis to Origin of Left Subclavian Artery
THIS IS CASE
461
OF
964
