
- 6
- ,
- 1
- 0
- 7
To Quiz Yourself: Select OFF by clicking the button to hide the diagnosis & additional resources under the case.
Quick Browser: Select ON by clicking the button to hide the additional resources for faster case review.
CASE NUMBER
452
Diagnosis
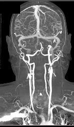
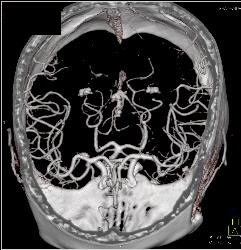
CTA With Dual Energy and Bone Removal
THIS IS CASE
452
OF
964
