
- 6
- ,
- 1
- 0
- 7
To Quiz Yourself: Select OFF by clicking the button to hide the diagnosis & additional resources under the case.
Quick Browser: Select ON by clicking the button to hide the additional resources for faster case review.
CASE NUMBER
436
Diagnosis
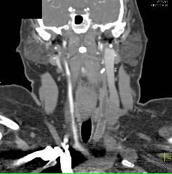
Jugular Vein Thrombosis
THIS IS CASE
436
OF
964
