
- 6
- ,
- 1
- 0
- 7
To Quiz Yourself: Select OFF by clicking the button to hide the diagnosis & additional resources under the case.
Quick Browser: Select ON by clicking the button to hide the additional resources for faster case review.
CASE NUMBER
128
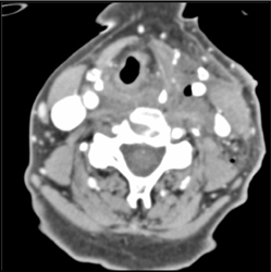
Diagnosis
Prominent Right Jugular Vein
THIS IS CASE
128
OF
964
