
- 2
- ,
- 3
- 8
- 1
To Quiz Yourself: Select OFF by clicking the button to hide the diagnosis & additional resources under the case.
Quick Browser: Select ON by clicking the button to hide the additional resources for faster case review.
CASE NUMBER
361
Diagnosis
Rosai-Dorfman
Note
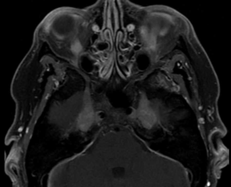
There is thick pachymeningeal enhancement along the falx and tentorial leaflets as well as along the medial aspects of the middle cranial fossae extending into Meckel’s caves and foramina ovale along the course of the branches of the V2 and V3 segments of the trigeminal nerves. Enhancement extends into the masticator spaces and pterygopalatine fossae. Findings can be seen in granulomatous diseases, lyme disease, neurofibromatosis, lymphoma, or histiocytosis. This case turned out to be CNS Rosai-Dorfman, a benign disease characterized by massive lymphadenopathy and variable extranodal involvement of the dura, sinuses, skin, orbits, bone, and salivary glands. CNS manifestations are usually that of enhancing dural based masses as seen here. The diagnosis is made by biopsy and patients are usually monitored and treated symptomatically with tumor debulking as needed.
THIS IS CASE
361
OF
396
