
- 2
- ,
- 3
- 8
- 1
To Quiz Yourself: Select OFF by clicking the button to hide the diagnosis & additional resources under the case.
Quick Browser: Select ON by clicking the button to hide the additional resources for faster case review.
CASE NUMBER
124
Diagnosis
Callosal Agenesis
Note
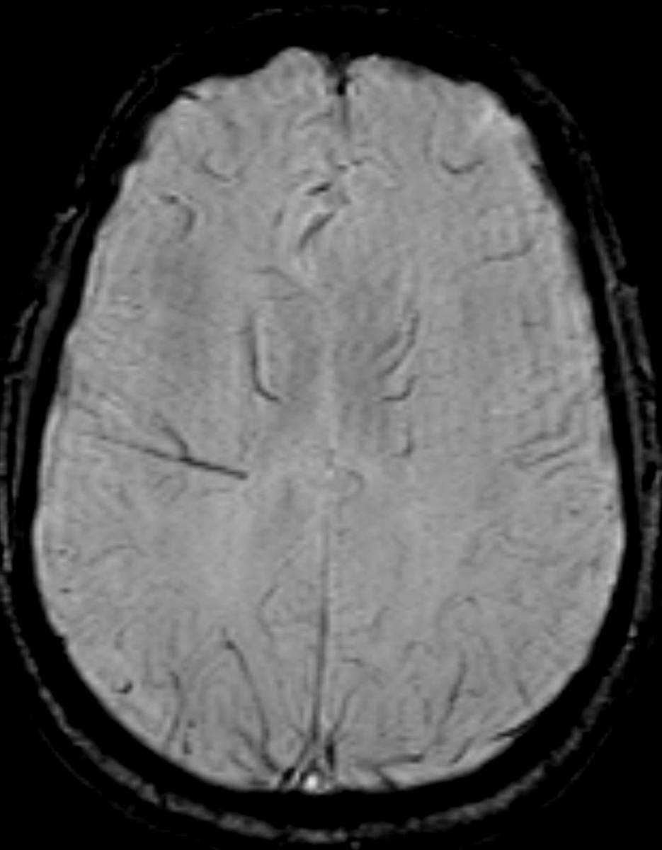
This is a case of agenesis of the corpus collosum in an otherwise asymptomatic 9-year-old male. The first three images demonstrate wide spacing and parallel orientation of the lateral ventricles with a colpocephalic appearance. Paralleling the medial margin of the body of the right later ventricle, there is a bundle of Probst on the right on the second image. The third ventricle is high-riding and communicates with a dorsal interhemispheric cyst, which is nicely demonstrated on the third image. The fourth image demonstrates a ‘sunray’ appearance of the sulci slightly off of the midline. The final two images demonstrate absence of the fornices and hypoplasia of the hippocampi. Collosal agenesis can occur as a primary agenesis or secondary dysgenesis. Primary colossal agenesis may be asymptomatic, occurring as frequently as 1:20,000 persons. There is a 2:1 male predilection. Agenesis of the corpus callosum may be seen as a component of Chiari II malformation, Dandy-Walker spectrum, grey matter heterotopia, holoprosencephaly and polymicrogyria, among many others.
THIS IS CASE
124
OF
396
