
- 3
- 5
- ,
- 1
- 3
- 7
To Quiz Yourself: Select OFF by clicking the button to hide the diagnosis & additional resources under the case.
Quick Browser: Select ON by clicking the button to hide the additional resources for faster case review.
CASE NUMBER
3,707
Diagnosis
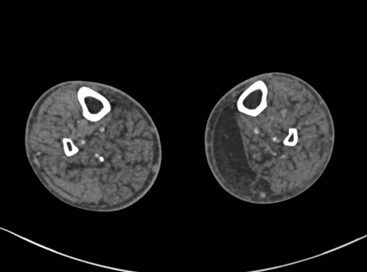
Atrophy of Medial Gastrocnemius Muscle to Trauma. Fractures of Tibia and Fibula Noted
THIS IS CASE
3,707
OF
5,558
