
- 3
- 5
- ,
- 1
- 5
- 7
To Quiz Yourself: Select OFF by clicking the button to hide the diagnosis & additional resources under the case.
Quick Browser: Select ON by clicking the button to hide the additional resources for faster case review.
CASE NUMBER
2,677
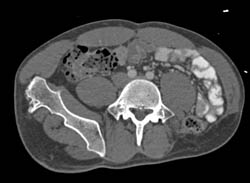
Diagnosis
Incidental Soft Tissue Mass in Gluteal Muscle
THIS IS CASE
2,677
OF
5,560
