
- 3
- 5
- ,
- 1
- 8
- 4
To Quiz Yourself: Select OFF by clicking the button to hide the diagnosis & additional resources under the case.
Quick Browser: Select ON by clicking the button to hide the additional resources for faster case review.
CASE NUMBER
2,448
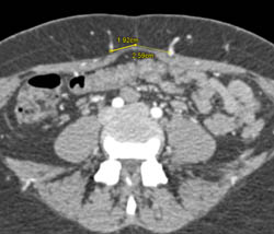
Diagnosis
DIEP Flap Planning
THIS IS CASE
2,448
OF
5,562
