
- 3
- 5
- ,
- 1
- 8
- 4
To Quiz Yourself: Select OFF by clicking the button to hide the diagnosis & additional resources under the case.
Quick Browser: Select ON by clicking the button to hide the additional resources for faster case review.
CASE NUMBER
520
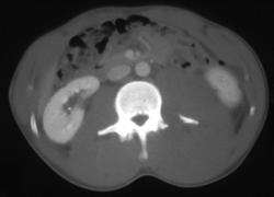
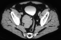
Diagnosis
Transverse Process Fracture With Hematoma
THIS IS CASE
520
OF
5,562
