
- 3
- 5
- ,
- 1
- 3
- 7
To Quiz Yourself: Select OFF by clicking the button to hide the diagnosis & additional resources under the case.
Quick Browser: Select ON by clicking the button to hide the additional resources for faster case review.
CASE NUMBER
85
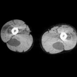
Diagnosis
Osteomyelitis
THIS IS CASE
85
OF
5,558
